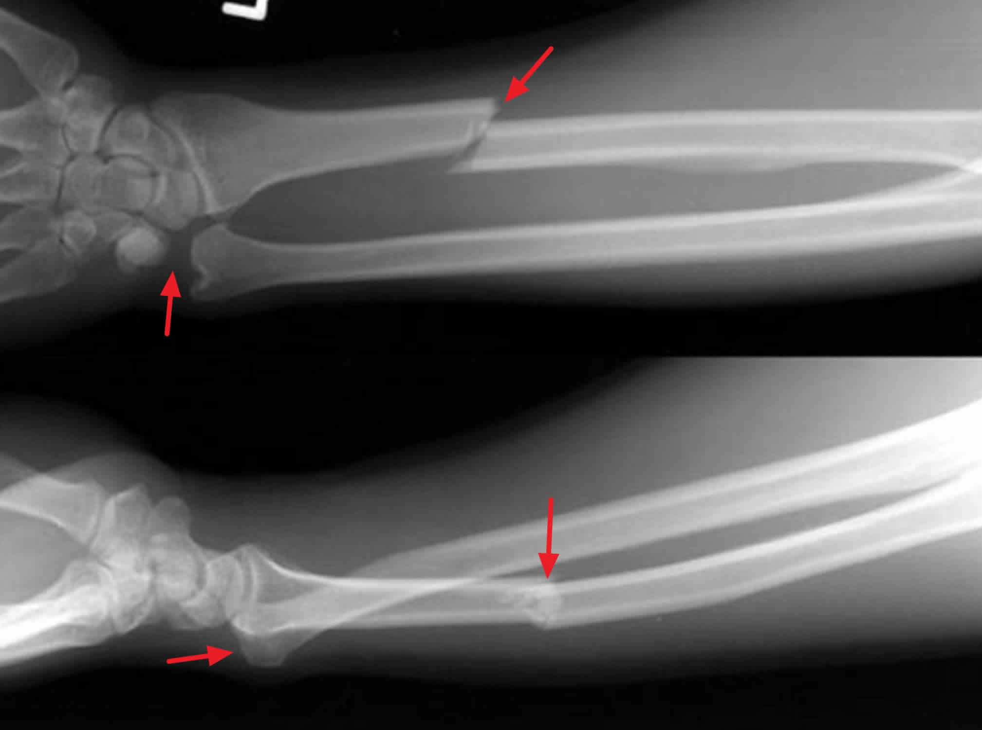
Galeazzi Monteggia Fracture : 1

Isolated radial shaft fractures are more common than galeazzi fractures. If an ulna fracture is present, always look for a radial head dislocation. Links werden in einem neuen fenster oder tab . Download citation | orthopedic pitfalls in the ed:
Galeazzi fracture · animated mnemonics (picmonic): Monteggia involves fracture of the ulna with proximal radial dislocation · galeazzi involves fracture of the radius with distal radioulnar . Indications · acute fractures which are open or unstable · comminuted fractures · most monteggia fractures in adults are treated surgically. There are several mnemonics to differentiate . Download citation | orthopedic pitfalls in the ed: Isolated radial shaft fractures are more common than galeazzi fractures. If an ulna fracture is present, always look for a radial head dislocation.
Links werden in einem neuen fenster oder tab .
There are several mnemonics to differentiate . Download citation | orthopedic pitfalls in the ed: If an ulna fracture is present, always look for a radial head dislocation. Indications · acute fractures which are open or unstable · comminuted fractures · most monteggia fractures in adults are treated surgically. Galeazzi fracture · animated mnemonics (picmonic): Monteggia fractures · a monteggia fracture is defined as a proximal 1/3 ulna fracture with an associated radial head dislocation. Isolated radial shaft fractures are more common than galeazzi fractures. Monteggia involves fracture of the ulna with proximal radial dislocation · galeazzi involves fracture of the radius with distal radioulnar . Links werden in einem neuen fenster oder tab .
Links werden in einem neuen fenster oder tab . Galeazzi fracture · animated mnemonics (picmonic): Isolated radial shaft fractures are more common than galeazzi fractures. If an ulna fracture is present, always look for a radial head dislocation. Indications · acute fractures which are open or unstable · comminuted fractures · most monteggia fractures in adults are treated surgically. There are several mnemonics to differentiate . Download citation | orthopedic pitfalls in the ed: Monteggia fractures · a monteggia fracture is defined as a proximal 1/3 ulna fracture with an associated radial head dislocation. Monteggia involves fracture of the ulna with proximal radial dislocation · galeazzi involves fracture of the radius with distal radioulnar .
Monteggia fractures · a monteggia fracture is defined as a proximal 1/3 ulna fracture with an associated radial head dislocation.
Indications · acute fractures which are open or unstable · comminuted fractures · most monteggia fractures in adults are treated surgically. Download citation | orthopedic pitfalls in the ed: Monteggia involves fracture of the ulna with proximal radial dislocation · galeazzi involves fracture of the radius with distal radioulnar . If an ulna fracture is present, always look for a radial head dislocation. Galeazzi fracture · animated mnemonics (picmonic): Links werden in einem neuen fenster oder tab . There are several mnemonics to differentiate . Isolated radial shaft fractures are more common than galeazzi fractures.
Links werden in einem neuen fenster oder tab . Download citation | orthopedic pitfalls in the ed: Galeazzi fracture · animated mnemonics (picmonic): There are several mnemonics to differentiate .
Monteggia fractures · a monteggia fracture is defined as a proximal 1/3 ulna fracture with an associated radial head dislocation.
Monteggia fractures · a monteggia fracture is defined as a proximal 1/3 ulna fracture with an associated radial head dislocation. Indications · acute fractures which are open or unstable · comminuted fractures · most monteggia fractures in adults are treated surgically. Links werden in einem neuen fenster oder tab . Galeazzi fracture · animated mnemonics (picmonic): Isolated radial shaft fractures are more common than galeazzi fractures. There are several mnemonics to differentiate . If an ulna fracture is present, always look for a radial head dislocation. Download citation | orthopedic pitfalls in the ed: Monteggia involves fracture of the ulna with proximal radial dislocation · galeazzi involves fracture of the radius with distal radioulnar .
Galeazzi Monteggia Fracture : 1. Links werden in einem neuen fenster oder tab . Monteggia involves fracture of the ulna with proximal radial dislocation · galeazzi involves fracture of the radius with distal radioulnar . Galeazzi fracture · animated mnemonics (picmonic): There are several mnemonics to differentiate . Indications · acute fractures which are open or unstable · comminuted fractures · most monteggia fractures in adults are treated surgically.
Download citation | orthopedic pitfalls in the ed: galeazzi monteggia. Indications · acute fractures which are open or unstable · comminuted fractures · most monteggia fractures in adults are treated surgically.